#duurzamedinsdag: Van stalen bedpan naar duurzame kartonnen po

#duurzamedinsdag: Van stalen bedpan naar duurzame kartonnen po
Werkzaamheden Schipholweg Leiden
Werkzaamheden Schipholweg Leiden
Dinsdag 18 augustus wordt gestart met de bouw van project Schipholweg 130, vlakbij Alrijne Leiden.
Contactloos betalen bij parkeren in Alrijne Leiderdorp

Contactloos betalen bij parkeren in Alrijne Leiderdorp
Wanneer gaat mijn afspraak, onderzoek of operatie door?

Wanneer gaat mijn afspraak, onderzoek of operatie door?
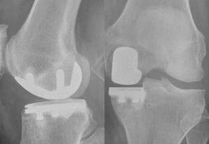
Hoe meer ervaring met halve knieprotheses, hoe minder kans op complicaties
